Well, it’s been awhile since I have posted. I haven’t been feeling the best lately (which is not a bad thing), so I haven’t been breaking out the camera as often.
Here is the reason I have not felt my best!!
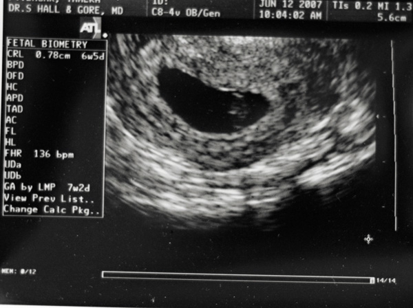
We are expecting another Baby Eagar! I am due at the end of January. The ultrasound below was taken at my first Doctor’s visit in June. It is always so reassuring to see the little bean. You can barely see it, but the little white line on the bean is the heartbeat! I had another appointment today, and the heartrate was 160 bpm! Kyla thought it was fun to listen to the heartbeat, however, she was a bit nervous when we were walking back to the exam room. I had to reassure her that we were there for me and not for her!

Now to wait and see what the sex is!! Somedays Kyla says its a “baby sister” and other days she says its a “baby broder”.